Renal artery stenosis is a reason for hypertension and deteriorating renal function. Logically, reversing renal artery stenosis should therefore abate hypertension and renal function deterioration. However this has been difficult to prove. It There is still ongoing debate in the literature whether atherosclerotic renal artery disease should be treated with medicine or with balloon angioplasty and a stent. Despite this debate, renal artery revascularization is becoming more common in clinical practice.
Epidemiology and Natural history
Renal artery stenosis is common, affecting as many as 5% of people with hypertension in industrialized countries. This number could be an overestimate because high risk populations may have been over represented in surveys. Also, the cutoff used to describe renal artery stenosis varies. Not all reports actually report clinically significant stenosis. Many reports include any degree of stenosis at all. One population study of a random sample of 834 elderly patients found the prevalence of RAS > 60% to be 6.8%. Another sample of over a million Medicare patients found the prevalence of clinically manifest atherosclerotic renal artery stenosis to be 0.54%. It was also described as 3.7 per 1000 person-years. The prevalence is higher in older populations, with more atherosclerotic risk factors.
Progression of Renal Artery Stenosis
Renal artery stenosis may be progressive. Also, progression can lead to end-stage renal disease. However, not all patients demonstrate progression. Different series showed different progression rates. A retrospective analysis of 434 patients with hypertension that had repeat duplex ultrasound over 3 years found a progression of stenosis to occlusion in 2.3% and new-onset renal artery stenosis in 9.1%. This trial may have suffered from referral bias. In other series numbers may reach as high as 71% without treatment for any progression. Progression to end-stage renal disease is of course much slower.
Baseline renal characteristics affect the rate of progression of renal function. Reduced kidney size and more severe renal artery disease are risk factors for progression. On the other hand, there is no clear correlation between the severity of stenosis and intrinsic renal function. This means that a high grade stenosis does not always go hand in hand with worse kidney function. Simply put, renal function can be normal with severe renal artery stenosis and visa versa. This apparent paradox is the reason that there is debate regarding treatment and the need for an accurate predictive model (see ‘treatment of renal artery stenosis’, below).
Medication also effects the rate of renal dysfunction progression. Patients receiving statins or those receiving angiotensin converting enzyme inhibitors or angiotensin receptor blockers tend to have a slower rate of progression of disease as compared with patients not being treated.
Diagnosis of renal artery stenosis
Renal artery stenosis is diagnosed on purpose or by chance. Incidental diagnosis of renal artery stenosis typically occurs when an abdominal contrast enhanced CT is performed for a different reason. As part of reading the CT the renal arteries are noted. Sometimes this leads to meaningful information. However, it is the purposeful diagnostic process that is the focus of this discussion.
Renal artery stenosis is associated with renovascular hypertension, impaired renal function and in several congestive heart failure syndromes. Therefore, it should be suspected in several instances:
- Hypertension that is difficult to control (i.e. with three or more medications)
- Hypertension that is in “extremes” of age (young and old)
- Unexplained azotemia or rapid deterioration of renal function
- Diffuse atherosclerotic disease in other arteries of the body accompanied by renal dysfunction
When these situations are recognized, the diagnosis can be made by combining careful physical examination with non-invasive diagnostic tests. A clue on physical exam are bruits over the abdomen. The place to listen for these bruits is on both sides of the umbilicus. You should listen at the 10 and 2 o’clock positions.
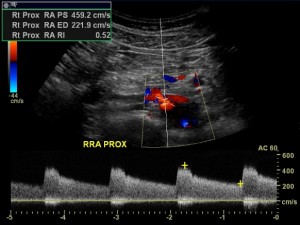
The most accurate non-invasive tools for defining renal artery stenosis are CTA and MRA. However, renal artery duplex ultrasound has added value. Duplex is cheap, non-invasive, does not involve radiation and is accurate as well. Duplex can offer physiologic information about the kidney in the form of the resistive index.
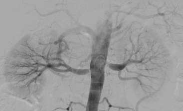
Renal captopril scintigraphy is not recommended in relevant guidelines. In any case, the gold-standard is formal invasive angiography. We confirm stenosis visually and by using trans-lesion pressure gradient measurements.
Differential Diagnosis
The most common cause of renal artery stenosis is atherosclerosis. Other potential reasons include fibromuscular dysplasia and compression by adjacent structures such as the “nutcracker” syndrome. Acutely, renal blood flow may be compromised during an aortic dissection and by emboli from distal sources, such as the heart. We will discuss mainly atherosclerotic renal artery stenosis.
Atherosclerotic renal artery disease does not only have different imaging characteristics than fibromuscular dysplasia of the renal arteries, but also appears in different types of populations. Atherosclerotic renal artery disease is most often in the ostium of the renal artery and is a single lesion, while fibromuscular dysplasia tends to be distal and demonstrate beading. Also, fibromuscular dysplasia is more common in young women, atherosclerosis is more common in the elderly.
Treatment of renal artery stenosis
Treatment might be medical therapy and surveillance, endovascular procedures or open surgery.
Medical therapy includes treating hypertension and treating cardiovascular risk-factors.
The choice of angiotensin converting enzyme inhibitors (ACE-I) to treat hypertension is probably the most appropriate as this medication may serve to reduce intra-renal pressures and as ‘nephroprotective’. Upon initiation of ACE-I a temporary rise in creatinine up to 30% is to be expected. This is not a contraindication to treatment, unless the renal function is very impaired to begin with. In cases of bilateral renal artery stenosis or uni-lateral stenosis with diseased or absent second kidney ACE-I may be harmful, as they may impinge on blood flow to the only functioning kidney.
Endovascular Treatment
There is much debate regarding the endovascular treatment of renal artery stenosis. On the one hand in experienced centers the procedure is low risk. Renal artery patency can be restored in many patients. Blood pressure has also been shown to go down after these procedures. On the other hand little clinical benefit as far as renal function and survival has been shown.
Procedure Risks
More on the opponent side, frequent in-stent restenosis mandates frequent redo procedures, putting these patients at risk. Even more so, although procedural risk is low in experienced hands (and not so low in inexperienced ones) it does entail risk. Examples of risks of renal artery angioplasty and stenting include damage to the kidneys themselves as contrast is used and cholesterol emboli may be shed, risk of hemorrhage and puncture site risk for pseudoaneurysm and arterio-venous fistula. Last, and most importantly, although endovascular procedures makes sense, and despite the fact that it does help people as noted above, the truth is it is difficult to know who that helps and who it does not help beforehand. Therefore, in many cases it may be considered futile and wasteful and even risky to perform an endovascular attempt to stent a stenotic renal artery.
The Data
Data from several prospective trials including the DRASTIC trial, STAR trial and ASTRAL trial have all failed to show benefit for endoluminal procedures in treating renal artery stenosis. A meta-analysis of 6 trials comparing medical therapy with or without renal artery intervention concluded that renal artery revascularization as a whole may reduce the number of antihypertensive medications needed, without affecting clinical outcomes. This meta-analysis also concluded that patient selection is still a matter that has not been well enough delineated.
However, proponents of the procedure will stress that all these trials have major inherent flaws; the most important of which is poor patient selection with many patients being enrolled with disease that is too mild.
Flaws of Trials of Renal Artery Stenting
It seems like there is compelling data against renal artery stenting, right? Well, still many of the the trials had flaws. If I had to summarize these flaws, I would say they were:
- Lack of power
- Older studies did not mandate stenting
- Inclusion bias. In many trials patients with “clear” indications (as assessed by their physicians) for an intervention were not included. They just simply received a procedure.
- Much crossover between study arms
- Lack of intra-procedural measurements to confirm the severity of the stenosis
- Renal artery stenting makes sense when the mechanism is renin-mediated. It does not make sense when the mechanism is volume overload (unless there is bilateral disease or a single functioning kidney). Patients were included even if they did not meet this criterion.
Is Renal Artery Stenting Dead?
Thus, there are still some indications that are considered by many as compelling indications for stenting renal artery stenosis. These include recurrent flash pulmonary edema, rapidly deteriorating renal function and rapidly progressive hypertension.
Even when these indications are lacking, there are clues as to which patients will respond. Some of these clues can be measured before the procedure, but others require various measurements during the catheterization:
- Pre-procedural measures that suggest that renal artery stenting may be successful include significant renal artery stenosis (usually more than 70% as measured by duplex, CTA or MRA), rapid renal function deterioration (as opposed to chronic kidney dysfunction) and renal reserve (as suggested by a kidney that is more than 7 cm in length with a more or less preserved glomerular filtration rate). Another measure for renal reserve is the renal resistive index, although there is controversy regarding its usefulness. Also, an elevated brain natriuretic peptide as measured in peripheral blood may suggest that stenting may be successful.
- During the procedure the operator must make sure that there is a significant pressure gradient across the lesion (more than 20 mmHg). Also, the fractional flow reserve, renal frame count and renal blush grades may offer useful information. A procedure should not proceed to stenting if these factors do not align favorably. Criticism of most of the negative trials that found that renal artery stenting was ineffective is that intra-procedural measurements were lacking.
Is Treatment Durable?
First, stent placement is more durable than balloon angioplasty alone. Second, there is a wide range of patency rates in the literature. Having said that, a single-center, retrospective analysis of 1150 renal artery stent procedures over a period of 10 years found an overall need for re-intervention in 11%, most within the first 2 years and most presenting with recurrent hypertension.
Identifying Patients with Renal Artery Stenosis to Treat
Many think that the future of renal artery stenosis lies in choosing the right patients for procedures. Patients should have severe, but reversible disease. Severity can be explained by the parachute analogy, if to quote Dr. Chris White. In order for a parachute to work you have to test it by jumping off a plane. Jumping off a bench just won’t show a difference. Perhaps this is the main reason for failure of current studies to show benefit. One group, for instance, showed benefit. They intervened only in patients who had high-risk convincing characteristics.
Renal parenchymal viability is a different matter that has not been solved yet. Theories include imaging oxygen consumption, analyzing renal biopsies for markers such as TGF-beta and models that rely and several non-invasive measures.
Read more:
- Natural history of renal artery stenosis. Annals of internal medicine. 1993.
- Natural history of renal artery stenosis and comorbidities. Progress in cardiovascular disease. 2009.
- Patient selection for successful ranal artery revascularization. Circulation. Cardiovascular interventions. 2010.
- ASTRAL trial. NEJM 2009.
- STAR trial. Annals of Internal Medicine. 2009.
- Balloon angioplasty or medication for RAS. Dutch collaborative renal artery stenosis study. NEJM 2000.
- Prospective two center cohort study showing superiority of intervention in patients with advanced renal artery stenosis and renal dysfunction. CCI. 2010.



