Cerebral vein thrombosis diagnosis and treatment

The blood flow to the brain is drained through a system of veins. These are the sinus veins and the cerebral veins. These veins join and drain into the internal jugular vein. Thrombosis in one of these veins is called cerebral vein thrombosis. Other names are dural vein thrombosis and sinus vein thrombosis.

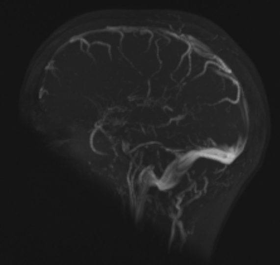
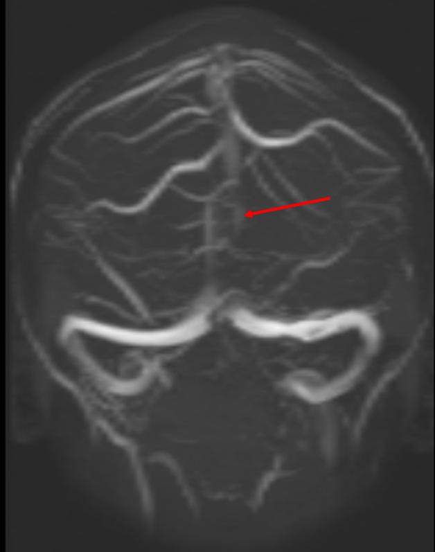
Cerebral veins
MRI showing cerebral veins

Epidemiology

Cerebral vein thrombosis is uncommon. It occurs more in women than in men. This may be due to pregnancy and oral contraceptives that are known risk factors. It tends to occur in young women. Men with this condition tend to be older. Finally, it is also a disease of neonates and children. These events in children, however, will not be part of this article. I will also not cover these clots during pregnancy.

Risk factors in adults can be divided in to general venous hypercoagulable causes and specific causes. The specific causes include meningitis and otitis media, head injury, instrumentation (such as jugular central venous catheter), surgery and drugs.

Symptoms of cerebral vein thrombosis

These clots can be asymptomatic or symptomatic. The asymptomatic type is sometimes noticed on brain imaging that is performed for other causes. It has been described in asymptomatic patients in autopsy. When there are symptoms, they can includ headache and stroke symptoms, seizures or encephalopathy.

Diagnosis of cerebral vein thrombosis

The diagnosis of cerebral vein thrombosis is made with brain imaging. This is usually computed tomography or MRI. The imaging should be interpreted by radiologists who specialize in this field, as there are many potential pitfalls. Sometimes invasive imaging is undertaken.

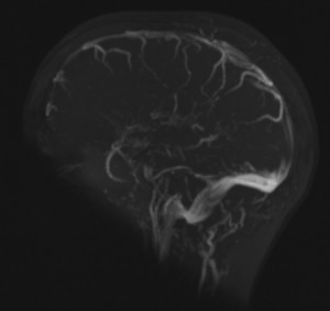
Cerebral vein thrombosis
MRI with sagittal vein cerebral vein thrombosis (notice lack of filling)

Treatment of cerebral vein thrombosis

The backbone of treatment is anticoagulation. In the acute phase there is concern for hemorrhagic transformation. Most available data supports anticoagulation, nonetheless. In some patients with continued deterioration thrombolysis (systemic or catheter directed) can be tried. This is not standard treatment and complications are frequent.

Select patients should also receive other forms of treatment. Antibiotics, treatment of increased intracranial pressure and anti-epileptic medications are examples.

The duration of anticoagulation depends on the cause. It is similar to current recommendations for venous thromboembolism elsewhere. If the event was provoked, the treatment could be several months. A first unprovoked event should be treated longer. However, recurrent events or unprovoked cerebral vein thrombosis in the setting of severe thrombophilia may mandate long-term anticoagulation. Current guidelines (ACCP, AHA) suggest 3-6 months of treatment for a first event without a malignant thrombophilia present. Longer treatment may also be considered after recurrent VTE after a cerebral vein clot.

Read more:

  1. Guidelines from the American stroke association about the diagnosis and treatment.
  2. In 2017 the European Stroke Organization published guidelines. This is an updated document that also includes practical questions and answers on topics such as surgery and pregnancy. Notably these guidelines recommend against cancer and thrombophilia testing.

Author

  • Dr. Ido Weinberg

    Dr. Weinberg is the founder and Editor In-Chief of Angiologist.com. He is a Vascular Medicine physician at Hadassah Hebrew University Medical Center, Associate Professor of Medicine at Harvard Medical School and Past President of the Society for Vascular Medicine.

    View all posts
Vascular Medicine