A deep vein thrombosis that is isolated to the calf veins is considered to be different than a deep vein thrombosis that is located in the popliteal vein or more proximal at the level of the thigh or pelvis. Calf vein thrombi are often referred to as “distal DVT” as to differ them from proximal DVT. Calf vein thrombosis may occur in the muscular veins (usually the gastrocnemius veins branching off the popliteal vein) or in the crural veins (i.e. the posterior and anterior tibial veins or the peroneal veins). The incidence of calf vein thrombi is not low. In one trial examining 964 people, half of which flew for a long time and half controls, the incidence was about 2%.

Natural history of Calf Vein Thrombosis
It is well known that aside from the local unwanted effects of proximal deep vein thrombosis a major and potentially lethal endpoint may be pulmonary embolism. However, what are the chances that a calf deep vein thrombosis that is left untreated embolizes in such a way?
A prospective study examined this question. A total of 424 patients without a proximal DVT but with a high likelihood of DVT (according to clinical assessment and/or d-Dimer) were included. Patient did not receive treatment. They did all undergo repeat duplex ultrasonography that included the calf. A calf vein thrombosis was found in 65 patients. These patients were treated with compression and NSAIDs but not with anticoagulation. Five patients developed complications over a 3 month period: 1 pulmonary embolus, 2 DVT and 1 calf symptom deterioration. Out of the rest of the patients (the ‘controls’) 31 had a DVT and 2 developed calf thrombi.
This study demonstrates that it is important to follow patients that present with a high likelihood of DVT, even when nothing was found initially. The way to follow is with serial duplex studies – a week after presentation and at 3 months. This is even more important in patients with calf vein thrombosis. This study raises more questions regarding the need to treat. According to this study, it seems that most patients with untreated calf vein thrombi would have been treated without justification. On the other hand singling out those who would need treatment was not demonstrated.
A second study examined the natural history of treated symptomatic muscular calf vein thrombosis. This study was flawed. The main issue was that often the calf vein thrombosis was associated with popliteal vein thrombosis. So, in reality many patients had a proximal DVT. Of 131 patients that were followed, some were treated with anticoagulation for 1 month, some for 3 months and a minority for over 6 months. There were 2 serious bleeding complications. By 9 months recanalization was achieved in most patients. Symptomatic venous thromboembolic events occurred in 18.8% of patients by the end of follow up; all after discontinuation of anticoagulation.
A third study randomized patients with muscular calf vein thrombi (soleus and gastrocnemius) to being treated with anticoagulation or no treatment. Progression rate was close to 30% in both groups, and did not correlate with treatment. Duration of treatment was not noted.
A fourth trial prospectively followed 153 patients with muscular calf vein thrombosis to see whether they progressed without treatment. In this study, progression rate was only 3% and even patients with cancer did not have a higher rate of progression at 3 months.
Another study did something different. The authors analyzed real-life data regarding patients with isolated calf vein thrombosis. All patients that were diagnosed with calf vein thrombosis were given prophylactic anticoagulation. Then, the patients were followed prospectively. Follow up was after 72 hours and then 1-3 months. Of 180 clots, 11 progressed to DVT and 9 developed a pulmonary embolism.
Another, 2017, retrospective study published in Vascular Medicine Journal took yet another approach. 280 patients suffering from distal vein thrombosis were followed for over 3 years. Most patients were treated similarly: 1 week of full dose anticoagulation followed by 3-5 weeks of prophylactic dose anticoagulation with low molecular weight heparin. This is not the standard treatment in the United States. This study showed that unprovoked distal vein thrombosis treated in this manner resulted in over 12% recurrence as proximal DVT or pulmonary embolism after a year. In cancer patients recurrence exceeded 18%. These are recurrence rates in par with those of proximal unprovoked deep vein thrombosis.
A group from RIETE published an analysis in 2022. They compared isolated calf vein thrombosis with isolated proximal DVT. Even after adjusting, patients with isolated calf DVT had better outcomes. However, the authors hedged their conclusions on the fact that these patients probably have fewer risk-factors overall.
Why is the Literature Confusing?
Why do some publications show a higher progression rate of calf vein DVT to proximal DVT than others? There is no proven answer for that at as of yet. One assumption may be that in patients in whom there are more risk factors for DVT present (such as continued immobility, active cancer or inflammatory condition), the chances of progression of the thrombus are higher. A trial comparing muscular calf vein thrombi to crural calf vein thrombi did not find a difference in outcomes at 3 months, though this trial did not routinely re-examine patients with ultrasound, but rather relied on clinical suspicion of recurrence. Of note – most patients in this study were treated (according to the ACCP 8 guidelines) with 3 months of anticoagulation, even if more in the crural group. This same trial also showed that bilateral calf vein thrombosis has a higher chance of progression than unilateral disease.
Notwithstanding the discrepancy in recent literature as exemplified above, the literature usually states 10-20% as the range for the rate of progression from distal (calf) vein thrombosis to proximal vein thrombosis. Most experts would agree that propagation, if it happens, usually occurs during the first two weeks. This is echoed by the 2012 and 2016 ACCP guidelines which suggest that treatment is not mandatory and that surveillance be done more diligently in this time frame.
Diagnosis
Calf vein thrombosis is diagnosed in two clinical scenarios:
- In search for a deep vein thrombus due to clinical suspicion in vascular laboratories with protocols that mandate search for clots in the calf and not only the thigh.
- In patients with symptoms a swollen calf or pain localized to the calf. Interestingly, it is the clinical observation of many that calf vein thrombosis causes more pain than more proximal deep vein thrombosis. There are data to back this claim.
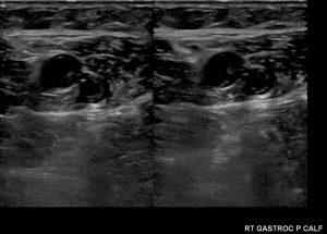
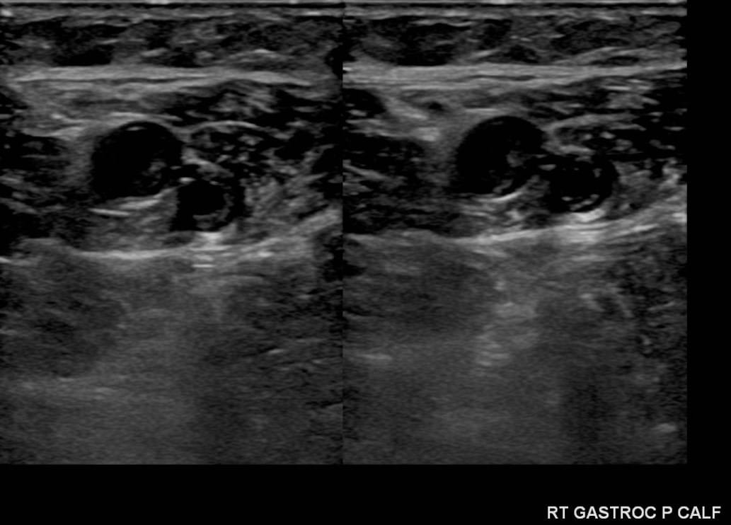
The diagnosis of calf vein thrombosis is established with duplex ultrasound utilizing the same principles that are used in proximal deep vein thrombi. A thrombus is diagnosed if there is lack of compression and/or lack of augmentation of flow. Also if there is no flow in the vein it may suggest a thrombosis. Some vascular laboratories do not perform calf ultrasound routinely, while others do. It is a matter of debate whether or not calf duplex ultrasonography is an accurate method to detect thrombi, however it has been published that a high standard laboratory can establish a low rate of clinically significant missed diagnoses.

An interesting fact is that calf vein thrombosis usually occurs in the gastrocnemius or soleus muscle veins or in the posterior tibial or peroneal veins. It rarely occurs in the anterior tibial veins. Duplex ultrasound which cannot visualize the anterior tibial vein appropriately is actually quite useful for the culprit veins outlined.
Treatment of Calf Vein Thrombosis
As stated above, distal vein thrombosis are looked at differently than proximal vein thrombosis. The reason for calf vein thrombi to be considered differently is the notion that they cause less post-phlebitic syndrome and that they are less likely than proximal deep vein thrombi to embolize to the lungs as pulmonary emboli. Because of this there are who believe that there is no need to automatically treat patients with calf vein thrombi with anticoagulation. Rather they follow them with serial duplex ultrasound examinations and treat only if there is propagation. A second debate revolves around treatment of patients with calf vein thrombi that are symptomatic – should they be treated with pain medication (such as NSAIDs) or with anticoagulation?
The 2012 guidelines by the American College of Chest Physicians (ACCP) suggest 3 months of anticoagulation for treatment of distal, unprovoked DVT. Treatment is the same for a provoked event.
A comparison of compression stockings with and without anticoagulation for calf muscular-vein thrombosis in 107 patients was published. Of special note is that the treatment was for 10 days. This may not be long enough to be considered proper treatment duration and therefore perhaps the comparison has an inherent flaw. During follow-up of 3 months 2 patients in each group developed progression of clot proximally, to become DVT. No patient had a pulmonary embolus or died.
In another retrospective study, outcomes of 384 patients with calf DVT were reported. Some of these patients were treated with anticoagulation and some were not. As this was a retrospective chart review, selection bias was inherent to the study. In any case, the authors reported that overall 5% of patients not treated with anticoagulation developed a proximal deep vein thrombosis and 4.3% developed a pulmonary embolism. The treated group only had 1.6% DVT and only 1.6% had a PE. However, treatment also resulted in an increased risk for any bleeding.
In 2016 a prospective randomized trial called CACTUS (published in the Lancet) examined nadroparin for the treatment of calf vein thrombosis compared to placebo. There was no added benefit for the study drug, but treatment was associated with more harm (more bleeding).
Serial Ultrasound vs Anticoagulation
The 2016 ACCP Guidelines introduced the option to follow patients with calf DVT with serial ultrasound instead of treating them with anticoagulation (recommendations 13-16). This approach relies on the relatively low and slow propagation and embolization rate of these clots. A 2021 retrospective comparison of the two approaches showed better outcomes for the anticoagulation arm. However, remember, that the two groups were not identical. It is feasible that patients that are followed are sicker and for that reason the treating physicians do not want to give them anticoagulation.
Calf Vein Thrombosis in Cancer Patients
Calf vein thrombosis in cancer patients is yet another issue. There is not much literature about this. Prospective studies are non-existent. Existing data are sparse. The 2017 study mentioned above showed recurrence of 18%. A retrospective study compared 243 cancer patients to 587 patients without cancer. Recurrence rate was similar, at 7.1%. Bleeding rate was higher in the cancer patients, as it often is. For this reason, most would treat these patients for at least 3 months with anticoagulation. Whether to treat for a longer period is a tougher question to answer.
Dr. Weinberg is the founder and Editor In-Chief of Angiologist.com. He is a Vascular Medicine physician at Hadassah Hebrew University Medical Center, Associate Professor of Medicine at Harvard Medical School and Past President of the Society for Vascular Medicine.
